Un equipo de la Universidad de Stanford, Estados Unidos, ha probado con éxito una inmunoterapia para tratar tumores cerebrales infantiles incurables. En el ensayo clínico se han utilizado terapias con células CAR-T, que habían ofrecido buenos resultados en los cánceres de la sangre, pero no en los tumores sólidos.
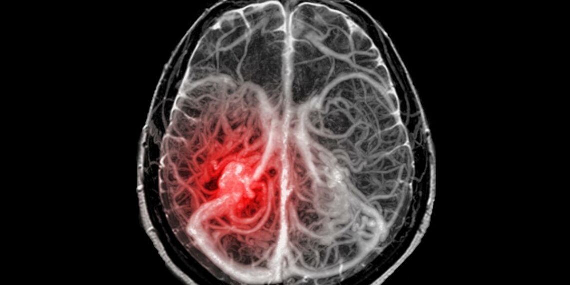
Estos resultados preliminares, con 11 niños y jóvenes afectados con un glioma difuso de línea media, se han publicado en la revista Nature. El tratamiento con células inmunitarias redujo el tamaño de los tumores cerebrales infantiles, restableció la función neurológica y, en el caso de uno de los participantes, borró todo rastro detectable de un cáncer cerebral considerado incurable.
El ensayo clínico en fase 1 ofrece esperanzas a niños con un grupo de tumores mortales, entre ellos el glioma pontino intrínseco difuso (DIPG). Es uno de los primeros realizados con éxito contra tumores sólidos con células CAR-T.
Los gliomas difusos de la línea media se diagnostican cada año en unos cientos de niños y adultos jóvenes solo en Estados Unidos. Tienen una supervivencia media de alrededor de un año. La radioterapia solo puede ofrecer un alivio temporal y no existen fármacos quimioterápicos eficaces. Además, no es posible extirpar los tumores quirúrgicamente.
El DIPG tiene una tasa de supervivencia a cinco años inferior al 1%. Se trata de un subtipo de enfermedad que se produce en el tronco encefálico. A medida que los tumores progresan, causan una profunda discapacidad.
El tratamiento con células CAR-T consiste en modificar en el laboratorio las células inmunitarias linfocitos T, los glóbulos blancos, para que sean capaces de reconocer y combatir las células tumorales.













